Skip to main content
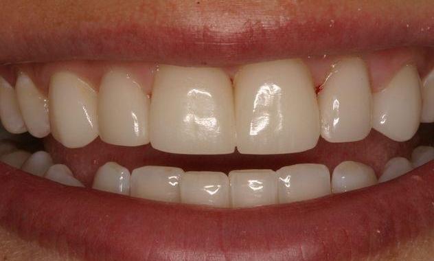
Porcelain Veneers
Say Hello to a Beautiful New Smile!

Porcelain veneers are a versatile cosmetic dental treatment that conceals tooth imperfections and leaves you with a fresh, bright smile.

Porcelain Veneers | Dentist
Are Porcelain Veneers the Right Choice for You?
Call Today

Porcelain Veneers

We often talk about the impact that an attractive smile can have on a person's life. It’s not just some romantic idea, either; smiling releases endorphins, serotonin, and dopamine, so the reason for your smile is enhanced by feelings of well-being. 

If you are unsatisfied with the appearance of your teeth, however, you probably tend to hide your smile from others. Dr. Brent Gorrell has over 40 years of experience and has devoted much of his dental career to perfecting his skills in cosmetic dental treatments like placing porcelain veneers.

Veneers and smile design is a passion for our practice, and Dr. Gorrell has been placing veneers and creating dazzling smiles since 1992. He has distinguished himself as an exemplary cosmetic dentist in Mountain View, CA through his commitment to hands-on-training and continuing education.

How Porcelain Veneers Can Help

Dr. Gorrell enjoys working with porcelain veneers because they can have such transformative effects on his patients’ smiles. Even a minor smile flaw can make you want to hide your smile; you may chip off a small piece of your front tooth that no one notices, but you’re sure it’s the first thing people see when they look at you.

Porcelain veneers are an effective solution that corrects many cosmetic flaws:

  • Hides chipped or broken teeth
  • Evens out spaces or gaps between teeth 
  • Conceals mild tooth misalignments 
  • Masks severely stained or discolored teeth
  • Corrects size or shape discrepancies

You may also hear porcelain veneers referred to as "instant orthodontics" because they can hide alignments problems like crooked teeth and uneven spacing. Veneers don't actually straighten your teeth, of course, but they do perfect the appearance and symmetry of your smile.

How Porcelain Veneers Perfect Your Smile

Dental veneers are ultra-thin, tooth-shaped shells of ceramic that are customized for your smile and bonded to the front surface of your teeth. Veneers hide imperfections by creating a new tooth surface, and we customize them to the shape, size, or color we need to perfect your smile.

Once you and Dr. Gorrell decide on your treatment plan, getting your new veneers is a straightforward process that usually requires two visits to our Mountain View dental office to complete. First, we’ll prepare your teeth, take impressions, and send the information to a custom dental lab that fabricates your veneers. 

In about two weeks, your veneers will be ready, and we’ll have your return to our dental office so Dr. Gorrell can bond them securely to your teeth. When it’s time for the big reveal, you will be delighted to see a beautifully symmetrical, balanced smile that’s sure to get you noticed in the best possible way!

Schedule Your Smile Consultation Today!

A beautiful, confident smile denotes joy, happiness, pleasure, and sociability. If you’re ready to stop hiding smile imperfections and doing something about them, please call Gorrell Smiles to see what’s possible for you. For your convenience, we are open Monday through Friday from 7 AM to 7 PM as well as Saturdays from 9 AM to 1 PM.

Dr. Gorrell and his team are top notch!

I've been a VERY satisfied customer of his for a long, long time! Simply put, Dr. Gorrell and his team are top notch!

1. Customer Service (front desk) - Outstanding! Always welcoming and hospitable!
2. Patient Experience (dental chair) - Outstanding! Always calming and friendly! E.g. the availability of a neck heating pad prior to cleaning and the Japanese Oshibori (Japanese hot towel) at the end of each visit!
3. Adoption and use of new technologies and the simple touches - Outstanding! Leading edge approaches with the pro's & con's of each being discussed!
4. Skillset - Outstanding! I've never had to have any dental work revisited or done over!

Most importantly, Dr. Gorrell is just a great individual Wishing him and his team many more years of continued success!

- William F.

Meet Our Doctors:

Jonathan Low DDS
Associate Dentist

Dr. Jonathan Low was born and raised in Stockton, California. He received a bachelor’s degree at The College of Idaho. He then went on to pursue his Doctor of Dental ...

Ryan Mui DDS
Associate General Dentist

Dr. Ryan Mui was born and raised in the Bay Area. He graduated with a Bachelor of Science in Biological Sciences at the University of California, Irvine. He then received ...

Alexander Lew DDS
Associate General Dentist

Dr. Alexander Lew received his DDS degree from the University of the Pacific School of Dentistry in San Francisco in 2019, and completed a General Practice Residency (GPR) at the ...

Transform Your Smile with Stunning Porcelain Veneers
Schedule Now