Gorrell Smiles

Implants and Veneers

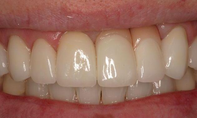
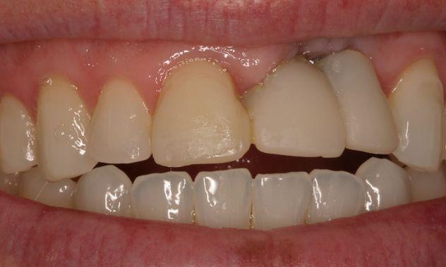
The patient had an accident and lost two front teeth and fractured four others. We improved his smile with implants and porcelain veneers.

Related Services:

Porcelain Veneers
Still need an appointment?
If you have difficulty using our website, please email us or call us at (650) 399-9657
View the ADA Accessibility Statement
Privacy Policy