Gorrell Smiles

Porcelain Veneers

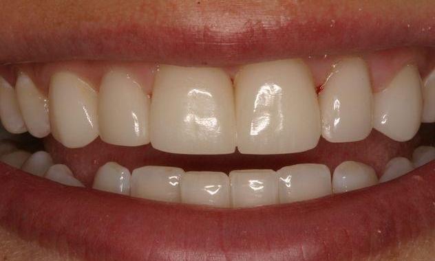
The patient is a 20-year-old female with missing lateral incisors from Mountain View, CA. Porcelain veneers were placed on the front ten teeth by Dr. Gorrell.

Related Services:

Porcelain Veneers
Ready to book an appointment?
If you have difficulty using our website, please email us or call us at (650) 399-9657
View the ADA Accessibility Statement
Privacy Policy